Skip Menu
Continue
  • 1114 Clifton Ave,
  • Clifton, NJ 07013
  • Home
  • About Us
    • Our Office
    • New Patients
    • Smile Gallery
    • Dental Videos
    • Testimonials
  • Meet the Team
    • Seyed Shahmehdi, DMD
    • Naba Hadi, DMD
    • Karen Capone, DMD
    • Ansam Alfaouri, RDH
  • Services
      • Cosmetic Dentistry
      • Crowns & Caps Clifton, NJ
      • Dental Bridges Clifton, NJ
      • Dental Fillings Clifton, NJ
      • Dentures Clifton, NJ
      • Implant Dentistry Clifton, NJ
      • Invisalign® Clifton, NJ
      • Oral Exams Clifton, NJ
      • Pediatric Dentistry Clifton, NJ
      • Preventive Program
      • Teeth Whitening
      • TMJ Disorders Clifton, NJ
      • Veneers Clifton, NJ
    • View All
  • Dental Health
  • Contact
    • Contact Us
    • Book Appointment

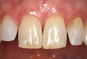
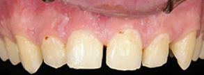
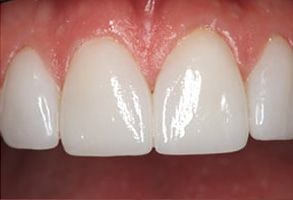
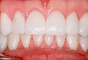
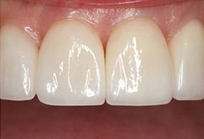
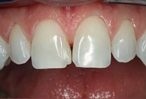
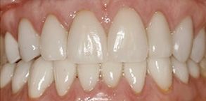
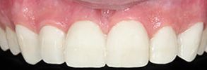
Smile Gallery

Additional Information

Our Location

1114 Clifton Ave
Clifton, NJ 07013
(973) 773-0001

Follow Us